Dental Services Provided
-
Kiddies Treatment
What can we say…we love kids and the kids love us! At Williams Landing Dental Clinic, we are dedicated at making all…
-
Anti-wrinkle and Dermal Fillers
Facial Aesthetics and Therapeutics At Williams Landing Dental Clinic we are a leading practice providing facial aesthetics and therapeutic treatment of the…
-
Servicing Surrounding Suburbs
Servicing Surrounding Suburbs Williams Landing Dental Clinic is now servicing surrounding suburbs Point Cook, Truganina, Tarneit, Laverton and Hoppers Crossing.
-
Medicare Bulk Billing
We bulk bill the payment directly to Medicare. If you have a child aged between 2 and 17 years and receive a…
-
Orthodontics in Williams Landing
What is an Orthodontist? An orthodontist is a dentist who has completed a Dental degree followed by a further three year specialist…
-
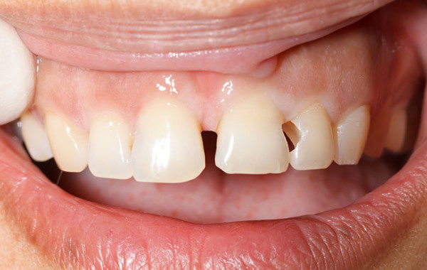
Crown Veneers and Bridges in Williams La
What are Dental Crowns and Bridges? All crowns and most bridges allow permanent protection and replacement of missing teeth without needing to remove them…
-
Sleep Dentistry in Williams Landing
Have you ever imagined falling asleep while having your teeth done? Attending a dental appointment can be a daunting experience for some people.…
-
Root Canal Treatment
What is Root Canal Therapy? Root canal therapy is performed when a tooth is considered to be so threatened (because of cavities,…
-
Dental Implant
What is a Dental Implant? A dental implant replaces the root or roots of a tooth that has been removed. The implant…
-
Fillings
Why might I need a filling? You may need a filling if your tooth has decay (e.g. has a black spot), has…
-
In Chair Tooth Whitening
Here at Williams Landing Dental Clinic we use the latest technology and the #1 in-chair whitening system: Zoom Whitening How long does…
-
Fissure Sealant
What are Fissure Sealants? Fissure sealants are used to seal the deep grooves on the biting surface of your teeth. It is…
-
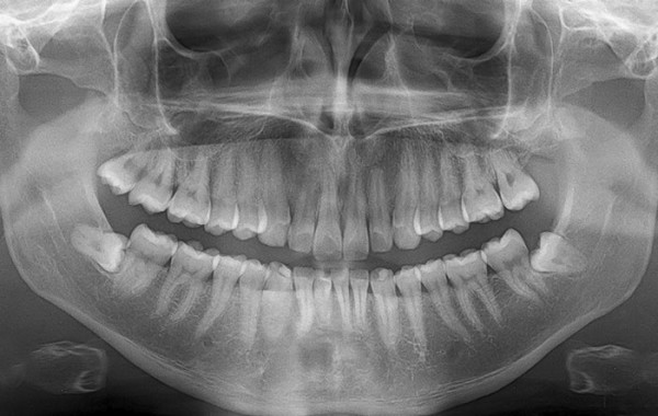
Wisdom Teeth Removal
What’s the first step in taking out my wisdom teeth? You would need to visit our surgery for a consultation first and…
-
Dentures in Hoppers Crossing
What are Dentures? Dentures are made to replace missing teeth. They are made to try to mimic your natural smile as best…




